Noesja's eerste nest



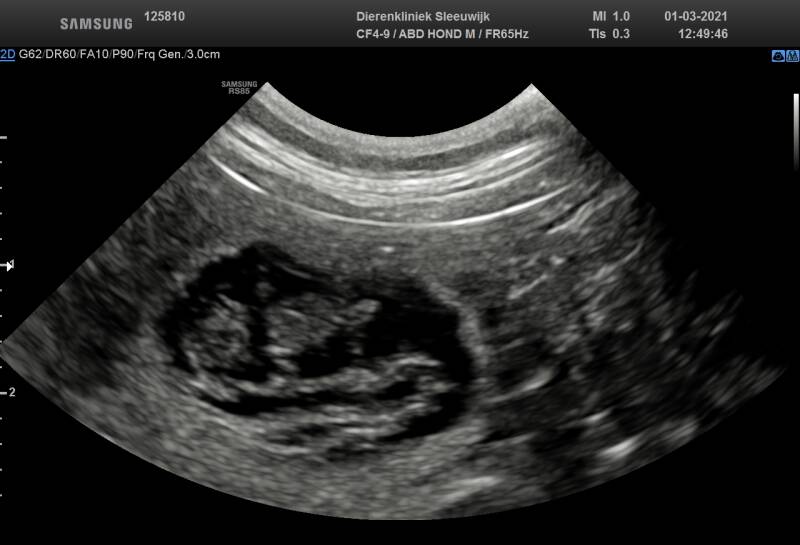
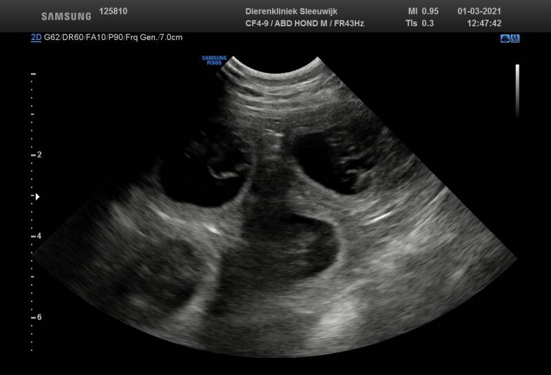
De echo's

1 dag oud

1 week oud

2 weken oud

3 weken oud

4 weken oud

 5 weken oud

6 weken oud

7 weken oud

8 weken oud


De echo's van 01/03/2021. 

Deze echo's zijn gemaakt op 1 maart 2021.

Het moment dat we er achter kwamen dat Noesja 4 weken drachtig is. 

 

Op deze echo foto's waren de puppy's 1,5 cm. 


Voortgang van Noesja

Op 12 maart woog Noesja al 1,5 kilo zwaarder dan toen op 1 maart. 

De puppy's gaan steeds meer groeien! Spannend...!


De werpkist voor Noesja

De kraamkamer is alvast klaar!

De werpkist voor Noesja is in elkaar gezet op een vertrouwde plek waar Noesja graag ligt. 

Nog ong. 2 weken wachten en dan gaat het eindelijk gebeuren!

In deze werpkist is Noesja zelf ook geboren.


De kraam visite verwachten wij pas vanaf 3 weken. 

Hierbij hanteren wij ook de corona maatregelen. 


1 dag oud

zaterdag 03-04-2021


Leverschimmel reu. Gewicht 304 gram. Geboren om 23:10 uur. 


Oranje schimmel teef. Gewicht 306 gram. Geboren om 00:45 uur. 


Blauwschimmel teef. Gewicht 297 gram. Geboren om 01:45 uur. 


Blauwschimmel reu. Gewicht 312 gram. Geboren om 02:30 uur. 


Oranje schimmel reu. Gewicht 268 gram. Geboren om 03:18 uur. 


Oranje schimmel reu. Gewicht 290 gram. Geboren om 03:35 uur. 


Oranje schimmel teef. Gewicht 284 gram. Geboren om 06:10 uur. 


Hier ligt een trotse tevreden moeder met haar pups!


De pups zijn hier heerlijk aan het drinken. 


1 week oud

zaterdag 10 april 2021

De stamboomnamen zijn vernoemd naar de honden van Frans en Astrid van de kennel Madaja's.


Sunny

Leverschimmel reu

Gewicht 451 gram


Daisy

Oranje schimmel teef

Gewicht 420 gram


Floortje

Blauwschimmel teef

Gewicht 404 gram


Djarno

Blauwschimmel reu

Gewicht 458 gram


Leroy

Oranje schimmel reu

Gewicht 408 gram


Xavier

Oranje schimmel reu

Gewicht 456 gram


Catootje

Oranje schimmel teef

Gewicht 416 gram


Hier slapen ze heerlijk tegen elkaar aan. 


2 weken oud

zondag 18-04-2021

De oogjes zijn net open gegaan en bij sommige gaan ze bijna open. 


Sunny

Gewicht: 805 gram


Daisy

Gewicht: 701 gram


Floortje

Gewicht: 683 gram


Djarno

Gewicht: 785 gram


Leroy

Gewicht: 712 gram


Xavier

Gewicht: 780 gram


Catootje

Gewicht: 696 gram


Gisteren zijn ze verhuist naar een groter verblijfplaats. 

Hier in kunnen ze meer lopen/kruipen en gaan ze meer ontdekken. 


3 weken oud

zaterdag 24-04-2021

De pups groeien hard! Alweer 3 keer hun geboortegewicht. 


Sunny. 

Gewicht: 1106 gram.


Daisy

Gewicht: 974 gram


Floortje

Gewicht: 931 gram


Djarno

Gewicht: 1012 gram


Leroy

Gewicht: 998 gram


Xavier

Gewicht: 998 gram


Catootje

Gewicht: 917 gram


Ze liggen nog steeds elke dag heerlijk bij elkaar om elkaar lekker warm te houden. 

Ook hebben ze inmiddels al tandjes en beginnen ze steeds meer te lopen! 


4 weken oud

zaterdag 01-05-2021

Je ziet de karakters al ontwikkelen.


Sunny

Gewicht: 1470 gram


Daisy 

Gewicht: 1360 gram


Floortje

Gewicht: 1280 gram


Djarno

Gewicht: 1410 gram


Leroy

Gewicht: 1410 gram


Xavier

Gewicht: 1460 gram


Catootje

Gewicht: 1280 gram


De voerbakjes moeten steeds groter worden. Het is smikkelen en smullen voor ze. 


5 weken oud

zaterdag 08-05-2021 



Sunny

Gewicht: 1920 gram


Daisy

Gewicht: 1740 gram


Floortje

Gewicht: 1650 gram


Djarno

Gewicht: 1860 gram


Leroy

Gewicht: 1880 gram


Xavier

Gewicht: 1890 gram


Catootje

Gewicht: 1580 gram


De pups zijn weer verhuisd naar een groter verblijfplaats!

Nu kunnen ze nog veel meer bewegen en lekker spelen met elkaar en met de hondenspeeltjes! 


Hier liggen Floortje & Sunny & Djarno heerlijk met elkaar te slapen in de hondenmand!

Wat een droppies! 


Kijk nou hoe lief!

Leroy & Catootje & Xavier & Daisy liggen heerlijk met z'n vieren in de bench! 


Nog steeds blijven ze Noesja opzoeken! 

Honger honger honger..! 

Leroy & Sunny & Xavier proberen nog een poging bij Noesja!

 

Soms geeft Noesja nog wel eens melk aan de pups, maar dat bouwen we langzamerhand steeds meer af. 


6 weken oud

zaterdag 15 mei 2021 

Van de week is de fokster Astrid Verweij van Noesja langs gekomen, om het nest te bewonderen. 

Astrid vond ze prachtig en mooi!

Met behulp van Astrid hebben we de stand foto's van de pups gemaakt.


Sunny

Gewicht: 2270 gram


Daisy heet vanaf nu Catootje. 

Gewicht: 2090 gram


Floortje

Gewicht: 1920 gram


Djarno

Gewicht: 2250 gram


Leroy

Gewicht: 2240 gram


Xavier

Gewicht: 2340 gram


Catootje heet vanaf nu Daisy.

Gewicht: 1840 gram


7 weken oud

zaterdag 22 mei 2021

Vandaag voor het eerst naar buiten in het gras. 

Sommige vonden het nog een beetje eng en spannend. En sommige waren al aan het dollen in het gras!

Nog een weekje genieten van ze allemaal bij elkaar!


Sunny

Gewicht: 2400 gram


Catootje

Gewicht: 2400 gram


Floortje

Gewicht: 2250 gram


Djarno

Gewicht: 2400 gram


Leroy

Gewicht: 2400 gram


Xavier

Gewicht: 2800 gram


Daisy

Gewicht: 2100 gram


8 weken oud

30-05-2021

De puppen gaan het nest verlaten.

Helaas komt er een einde aan deze mooie periode.

We hebben met z'n allen heel veel genoten van deze 8 weken!


Sunny blijft Sunny heten

Gewicht: 3280 gram


Catootje blijft Catootje heten 

Gewicht: 3160 gram


Floortje heet vanaf nu Nola

Gewicht: 2800 gram


Djarno heeft vanaf nu Pepe

Gewicht: 3170 gram


Leroy heet vanaf nu Lewis

Gewicht: 3280 gram


Xavier heet vanaf nu Dapper

Gewicht: 3400 gram


Daisy heet vanaf nu Bobbie

Gewicht: 2520 gram


Voor het laatst met z'n allen gezamenlijk eten. 


Elke dag als ik 's ochtends vroeg naar beneden kom, dan staan ze allemaal enthousiast achter de ren. 

Ze werden van iedereen enthousiast en ze hielden ervan om aandacht te krijgen!

Doordat ze zo enthousiast waren achter de ren kregen ze de aandacht waar ze elke keer van genoten. 


Afscheid foto's met de pups 

Hier nemen Noesja en ik afscheid van de leuke en lieve en mooie pups! 

Het waren 8 bijzondere en geweldige weken! We hebben er allemaal enorm van genoten!


Afscheid moment van Sunny. 


Afscheid moment van Nola.


Afscheid moment van Pepe. 


Afscheid moment van Lewis. 


Afscheid moment van Dapper. 


Afscheid moment van Bobbie. 


Eindelijk is mijn droom uitgekomen om een nestje te krijgen! 

Ik ga er zeker mee door!

Alles met honden is en blijft mijn passie!

Wij wensen jullie namens iedereen veel geluk met jullie mooie puppy! 


Wij zijn trots en dankbaar dat wij Catootje in ons eerste nest zit!

Catootje is de enige puppy die wij zelf van dit nest houden.

Catootje zal met heel veel liefde door ons worden verzorgd!